Terapia endovascular en un paciente complejo con estenosis carotídea crítica y enfermedad renal crónica

Terapia endovascular en un paciente complejo con estenosis carotídea crítica y enfermedad renal crónica

Bernabé Heredia-Rodríguez 1, Bernabé Heredia-Torres 2, Juan J. Beltrán-Ochoa 3

1 Servicio de Medicina Interna, Hospital de Especialidades Fray Juan de San Miguel, Uruapan, Michoacán, México; 2 Departamento de Medicina Interna, Hospital Regional 1º de Octubre, Instituto de Seguridad y Servicios Sociales de los Trabajadores del Estado (ISSSTE), Ciudad de México, México; 3 Departamento de Cardiología Intervencionista, Hospital Regional Dr. Valentín Gómez Farías, ISSSTE, Zapopan, Jalisco, México

*Correspondencia: Bernabé Heredia-Rodríguez. Email: beheredia@hotmail.com

Fecha de recepción: 02-09-2025

Fecha de aceptación: 23-09-2025

DOI: 10.24875/NFM.M25000026

Disponible en línea: 24-11-2025

Nef. Mex. 2025;46(4):140-145

Resumen

La arterioesclerosis es una enfermedad inflamatoria crónica de las arterias en la que su pared se engrosa de manera progresiva como consecuencia del acúmulo de diversas sustancias, entre las que destacan grasas, calcio y células sanguíneas, originando placas de ateroma, lo cual origina zonas de estenosis de diferente grado. La diabetes está asociada con complicaciones macrovasculares, como cardiopatía isquémica, enfermedad cerebrovascular, patología carotídea ateromatosa y enfermedad arterial periférica, factores que de manera simultánea afectan la función renal. Existen varios mecanismos relacionados específicos en la diabetes que favorecen la aterosclerosis: hiperglucemia, trastornos del metabolismo lipídico, resistencia a la insulina, estrés oxidativo incrementado, liberación de citocinas proinflamatorias, trastornos de la coagulación, fibrinólisis y disfunción endotelial. Presentamos el caso de una paciente de la séptima década de la vida con enfermedad renal crónica agudizada, estenosis carotídea crítica izquierda, diabetes tipo 2 e hipertensión arterial, cardiopatía mixta con derrame pleural bilateral y derrame pericárdico, portadora de marcapasos, a quien se le colocó un stent carotídeo por vía endovascular neurológica con éxito. Este caso es de los primeros en su tipo y fue manejado de manera privada en la ciudad de Uruapan, Michoacán, México.

Palabras clave:  Enfermedad renal crónica. Diabetes tipo 2. Stent de arteria carótida. Arteriosclerosis.

Contenido

Introducción

De acuerdo con el reporte de 2021 de la Federación Internacional de Diabetes, en ese año 537 millones de personas padecían diabetes en el mundo y se estima que en 2045 serán 783 millones1. En el 25% de los pacientes con enfermedad renal crónica (ERC) coexiste diabetes, y hasta un 40% de las personas con diabetes desarrollan algún grado de ERC en el transcurso de su vida. Con el incremento de la prevalencia de la diabetes, la ERC y sus consecuencias aumentarán en forma proporcional2. Según los datos proporcionados por la Organización Mundial de la Salud, el índice global de mortalidad por ERC incrementó un 41.5% entre 1990 y 20173. En 2017, en México se reportaron una prevalencia de ERC del 12.2% (aproximadamente 15 millones de pacientes con distintos grados de ERC) y una incidencia de 51.4 decesos por cada 100,000 habitantes. El Instituto Nacional de Estadística y Geografía publicó que, en 2021, fallecieron 103,167 personas en México debido a complicaciones de la ERC4. En 2022, la incidencia anual de ERC en México fue de aproximadamente 45,000 personas (346 por cada millón de habitantes), con una prevalencia de 188,000 (1147 por cada millón)3. La diabetes está asociada con complicaciones macrovasculares, como cardiopatía isquémica, enfermedad cerebrovascular, patología carotídea ateromatosa y enfermedad arterial periférica. Existen varios mecanismos relacionados con la diabetes que favorecen la ateroesclerosis: hiperglucemia, trastornos del metabolismo lipídico, resistencia a la insulina, estrés oxidativo, liberación de citocinas proinflamatorias, trastornos de la coagulación, fibrinólisis y disfunción endotelial. La estenosis carotídea crítica se define como un estrechamiento del 70% o más, por lo que comprenderla y tratarla es crucial debido a que es un factor de riesgo para desarrollar enfermedad cerebrovascular isquémica; por otra parte, es un indicador de enfermedad aterosclerótica sistémica subyacente, y por lo tanto un factor de riesgo de enfermedad coronaria y de mortalidad5. En los últimos 70 años se han desarrollado intervenciones médicas para la revascularización carotídea, logrando resultados satisfactorios y seguros, así como fármacos para prevenir y tratar la aterosclerosis, mejorando la seguridad, la tolerabilidad y la eficacia. De igual manera, el impacto en los cambios conductuales, como son la reducción del tabaquismo y cambios culturales, han contribuido a disminuir la frecuencia de enfermedad carotídea y de ictus. Actualmente, el manejo óptimo del paciente con estenosis carotídea crítica asintomática de alto grado está por definir.

Caso clínico

Mujer de 66 años, atendida en las instalaciones y la sala de hemodinámica del Hospital Fray Juan de San Miguel y del Hospital El Ángel de Uruapan, Michoacán, casada, ama de casa, con escolaridad primaria incompleta. Carga genética por ambas ramas para diabetes tipo 2 e hipertensión arterial sistémica; además, por línea materna para cáncer cervicouterino y por línea paterna para cáncer de pulmón. Colocación de marcapasos cardiaco bicameral hace 4 años por enfermedad degenerativa del sistema de conducción, normofuncionante. Hipertensión arterial sistémica y diabetes de tipo 2 de más de 20 años de evolución, actualmente en tratamiento inconstante sin apoyo dietético ni bitácoras de autocontrol, sin lograr las metas de control. Acude a la consulta externa de medicina interna el día 20 de enero de 2020 refiriendo un padecimiento actual atípico de 2 meses, caracterizado por disconfort torácico leve y diaforesis a dos cuadras de caminata; en la última semana se agregan tos seca cianosante y edema importante en los miembros pélvicos, hasta el tercio medio de las piernas. En la exploración física se encontró presión arterial de 200/120 mmHg, frecuencia respiratoria de 21 respiraciones por minuto, frecuencia cardiaca de 101 latidos por minuto, temperatura 36.1 °C, oximetría 86% al aire ambiente y llenado capilar distal de 2 segundos. Glucometría previa a la comida de 285 mg/dl, peso 64 kg, talla 1.56 m, índice de masa corporal 26.3. Consciente, orientada, buena coloración tegumentaria, bien hidratada, quemosis conjuntival bilateral. Sin tiroidomegalia. Pulso carotídeo derecho asincrónico con débil soplo pansistólico y pulso carotídeo izquierdo no palpable con soplo pansistólico débil. Tórax con síndrome de derrame pleural bilateral y frote pericárdico. Se palpó un dispositivo mecánico (marcapasos definitivo) en la región apical izquierda. Abdomen globoso por flacidez muscular y panículo adiposo, sin visceromegalias palpables, y soplo pansistólico en mesogastrio, sin masa pulsátil. Ruidos intestinales de características normales. Regiones inguinales sin adenomegalias palpables y pulsos de baja celeridad sin soplos audibles al estetoscopio. Extremidades superiores adelgazadas, sin edema. Extremidades pélvicas con manifestaciones de enfermedad arterial periférica con pulsos presentes en forma generalizada y de baja celeridad, signo de Godete positivo grado III de IV y zonas de hipoestesia. Genitales externos acorde a su edad, sin alteraciones. Extremidades torácicas normales acorde a su edad y pélvicas con signos de insuficiencia venosa leve, sin datos de neuropatía periférica.

Estudios de laboratorio al ingreso

El 20 de enero de 2020 presentaba los siguientes parámetros: hemoglobina 14.6 g/dl, hematocrito 43.1%, leucocitos: 6700/mm3, plaquetas 147,000/mm3, linfocitos 32%, neutrófilos 53%, bandas 0%, grupo sanguíneo O Rh positivo, TP 14.3”, INR 1.17, TPT 28.3”, glucosa 268 mg/dl, urea 60.2 mg/dl, creatinina 1.7 mg/dl, depuración de creatinina 39.43 ml/min/1.72 m2, albuminuria 23.4 mg/24 horas. BUN 31.62 mg/dl, ácido úrico 4 mg/dl, triglicéridos 124 mg/dl, colesterol total 183 mg/dl, sodio 141 mEq/l, potasio 3.8 mEq/l, calcio 8.1 mEq/l, HbA1c 10.8%, péptido natriurético 768 pg/ml, dímero D 965 ng/dl, tasa de filtrado glomerular 36.04 ml/min/1.72 m2, proteínas totales 6.0 g/dl, albúmina 3.2 g/dl, globulinas 2.8 g/dl y relación A/G 1.1 g/ml.

Triaje cardiaco: mioglobina 78.2 ng/ml (normal), CK-fracción MB 1.02 ng/ml (normal) y troponina I hs 0.05 ng/ml (normal).

Gasometría arterial: pH 7.44, pCO2 27 mmHg, pO2 86 mmHg, HCO3 17.7 mmol/l, TCO2 18.5 mmol/l, BEb –5.3 mmol/l, SO2c 97%.

Tele de tórax: derrame pleural bilateral, imagen de marcapaso bicameral en el ápex izquierdo.

Electrocardiograma de reposo: arritmia cardiaca tipo fibrilación auricular, marcapaso bicameral normofuncionante y trastornos difusos de la repolarización ventricular sin datos de isquemia, lesión ni necrosis establecida. No concluyente para isquemia coronaria.

Ultrasonido pulmonar: derrame pleural bilateral de aproximadamente 250 ml en cada hemitórax.

Ecocardiograma Doppler transtorácico: masa de 134 g/m2, derrame pericárdico de 128 ml aproximadamente, FEVI 40%, TAPSE 25 mm y deterioro del sistema valvular mayor que el esperado para su edad.

Evolución

Se instauró tratamiento médico multidisciplinario con insulina lispro protamina a dosis de 26 U antes del desayuno y 12 U antes de la cena, así como insulina de acción rápida por requerimientos, restricción hidrosalina enteral e intravenosa, diurético de asa tipo bumetanida a 0.5 mg/8 h, cloruro de potasio calculado a 120 mEq/día y esomeprazol 40 mg/24 h por vía intravenosa, logrando revertir los derrames pleural y pericárdico en 96 horas, con un balance de fluidos de –5500 ml. El 24 enero de 2020, a las 18 horas, se corrobora por ultrasonido portátil de alta definición un derrame pleural bilateral mínimo de solo 50-60 ml en cada hemitórax, y pericárdico de tan solo unos 10 ml.

Se concluye notable mejoría clínica y paraclínica, y por ende, estar en condiciones de ser investigada en forma invasiva en la sala de hemodinámica. Por consenso familiar y de los servicios de medicina interna, cardiología clínica y cardiología intervencionista, se decidió someter a la paciente a cateterismo cardiaco y carotídeo diagnóstico, y acorde con los hallazgos transoperatorios se tomó la decisión terapéutica en ese momento de acuerdo nuevamente con la familia.

El 25 de enero de 2020 se procedió a practicar panangiografía de troncos supraaórticos y carótidas, bajo el siguiente protocolo intervencionista: cateterismo de vasos del cuello con panangiografía por vía femoral derecha, usando proyecciones ortogonales en anteroposterior, lateral, oblicuas y posiciones especiales usando un catéter guía MATCH 1 de calibre 7 Fr con ayuda de una guía Terumo de 0.032”. En la arteria carótida común derecha no se observaron placas ateromatosas, y tampoco en su ramas interna y externa, la arteria carótida interna común izquierda sin lesiones, la arteria carótida externa izquierda sin lesiones, la arteria carótida interna izquierda con lesión estenótica grave del 90% en su origen y placa focal extensa sin afectación de la bifurcación (Fig. 1). Las arterias subclavias no presentaban zonas de estenosis significativas. Se llevó a cabo un cateterismo cardiaco protocolario por vía radial derecha realizando stenting carotídeo izquierdo con ascenso de un catéter guía multipropósito Match 1 de calibre 7 Fr con una guía hidrófila Terumo de 0.032” posicionándose en la arteria carótida común izquierda 3 cm por debajo de la bifurcación. Se practicó ascenso wallstent 7 × 40 mm con una guía ChoICE PT extrasoporte de 0.014” y se liberó un stent de distal (arteria carótida interna izquierda) a proximal (arteria carótida común izquierda), observando una estenosis residual del 50%, por lo que se avanzó un balón HIRYU de 5 × 10 mm con el que se posdilató a 16 atm, con un resultado final exitoso de solo un 20% de estenosis residual (mejoría del 70%) (Fig. 2). Termina el procedimiento asintomática cardiovascular e íntegra neurológicamente, se retira el introductor femoral y se coloca un dispositivo de cierre vascular Angio-Seal de 6 Fr. Hallazgos: 1) tronco coronario izquierdo ligeramente sinuoso, sin lesiones significativas; 2) arteria circunfleja ligeramente tortuosa, sin zonas de estenosis; 3) arteria descendente anterior un poco más sinuosa, sin zonas de estenosis; y 4) arteria coronaria derecha de trayecto muy regular, de muy buen calibre, sin imágenes de estenosis. Se concluyó el cateterismo cardiaco sin incidentes clínicos ni complicaciones, con el sumo cuidado de optimizar la dosis del medio de contraste (solo se usaron 25 ml).

Figura 1. Arteria carótida interna izquierda.

Figura 2. Arteria carótida interna izquierda tras la intervención.

Evolución clínica tras el cateterismo

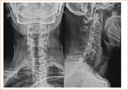
La paciente continuó con manejo médico con restricción hídrica, insulina de acción rápida por requerimientos, furosemida 10 mg/12 h, apixabán 2.5 mg/12 h, atorvastatina 40 mg/24 h y esomeprazol 40 mg/24 h por vía intravenosa. No presentó deterioro de la función renal y en las siguientes 72 horas la nueva depuración de creatinina se reportó en 42 ml/min. Metabólica y hemodinámicamente continuó compensada y neurológicamente consciente, orientada, Glasgow 15 puntos, sin déficit motor focal, movilizando sus cuatro extremidades con fuerza muscular normal, reflejos de estiramiento muscular normales acorde a su edad, no disártrica, no disfágica, sin ataxia, íntegra de juicio y raciocinio, marcha normal, tolerando la vía oral y sin compromiso en sitios de arteriopunción. La paciente egresó por mejoría 5 días después del cateterismo, con tratamiento multidisciplinario y seguimiento en la consulta externa de medicina interna. Desde entonces hasta septiembre de 2025 presenta mejoría de su clase funcional cardiaca, estabilidad metabólica con HbA1c < 7.4% y estabilidad hemodinámica con presión arterial promedio 146/84 mmHg. El ultrasonido Doppler carotídeo de control tardío del 11 de septiembre 2025 mostró stent carotídeo estable, con adecuado flujo sanguíneo (Figs. 3 y 4). Las radiografías simples de cuello permitieron identificar fácilmente el stent, su ubicación y la ligera estenosis residual (Fig. 5).

Figura 3. Ultrasonido Doppler carotídeo.

Figura 4. Ultrasonido Doppler color carotídeo.

Figura 5. Radiografías anteroposterior y lateral de cuello.

Después de 5 años y 8 meses, la paciente continúa su atención médica privada por el equipo tratante de inicio, con buena evolución clínica cardiovascular y neurológica. Desde diciembre de 2023 se prescribió finerenona 10 mg/24 h y se incrementó a 20 mg. Nefrológicamente conserva la depuración de creatinina en orina de 24 horas de 48 ml/min y valores adecuados de potasio 5.2 mEq/l. Así mismo, continúa su tratamiento amplio con insulina, apixabán 2.5 mg/12 h, atorvastatina 20 mg/24 h y candesartán 8 mg/24 h. Desafortunadamente, ha perdido agudeza visual irreversible por daño previo de retinopatía diabética proliferativa, pero es autosuficiente en casa.

Discusión

Se trata de una paciente metabólica, vacular, neurológica y cardiorrenal, con un cuadro clínico atípico generado por una lesión carotídea crítica. En nuestro medio, la inmensa mayoría de los pacientes con diabetes tipo 2 e hipertensión arterial tardías no llegan a metas control ni tienen la solvencia económica para someterse a un procedimiento endovascular de tal magnitud en la medicina privada, pues implica un costo económico muy alto e infraestructura especializada, de lo cual en el servicio institucional público generalmente se carece. La seguridad y la eficacia del tratamiento médico sin revascularización no se ha probado en el siglo xxi. Un estudio clínico aleatorizado centrado en pacientes con estenosis carotídea crítica, el estudio SPACE-2 (Stent-Supported Percutaneous Angioplasty of the Carotid Artery Versus Endarterectomy-2), incluyó 513 pacientes de los que 113 fueron asignados a tratamiento médico intensivo. La declaración de directrices integrales más reciente recomienda aspirina en dosis bajas, tratamiento antihipertensivo para pacientes hipertensos, terapia hipolipidemiante con estatinas, ezetimiba e inhibidores de la proproteína convertasa subtilisina/kexina tipo 9 (PCSK-9) según sea necesario a dosis óptimas, y control glucémico de la diabetes6. También se recomienda la terapia conductual para que los pacientes adopten un estilo de vida muy saludable. En el ensayo CREST-2 (Carotid Revascularization and Medical Manegement for Asymptomatic Carotid Stenosis Trial), el tratamiento médico intensivo (TMI) es una rama experimental (de dos ensayos clínicos paralelos), ya que la endarterectomía carotídea y la implantación de stents en la arteria carótida se han comparado entre sí en ensayos clínicos aleatorizados previos. El protocolo CREST-2 TMI incluye recomendaciones de tratamiento médico basado en directrices, asesoramiento conductual y la opción de inhibidores de la PCSK-9. El objetivo de presión arterial sistólica es de –130/80 mmHg y el objetivo de lipoproteínas de baja densidad es de –70 mg/dl. Los grupos médicos en CREST-2 reclutaron más de 1000 pacientes y se terminó en 2024. Por lo tanto, será posible evaluar la seguridad y la eficacia del TMI en pacientes con estenosis carotídea asintomática de alto grado7. La implantación de un stent en la arteria carótida se inició en la década de 1990 por ser menos invasiva que la endarterectomía. Los estudios retrospectivos y de registro informaron que la colocación de un stent es comparable a la endarterectomía. En 2004, el ensayo clínico aleatorizado SHAPPIRE (Stenting and Angioplasty With Protection in Patients at High Risk for Endarterectomy) demostró que la implantación de un stent carotídeo en pacientes considerados de mayor riesgo para la endarterectomía no fue inferior al mismo tratamiento a los 30 días. En 2005, los centros de servicios de Medicare y Medicaid aprobaron revirar a la implantación de stent carotídeo en pacientes sintomáticos de alto riesgo con estenosis > 70% y en pacientes asintomáticos con estenosis > 80%8, y en octubre de 2023 emitieron una nueva determinación de cobertura nacional en los Estados Unidos de América revirando la implantación de stent carotídeo a los pacientes sintomáticos con estenosis carotídea del 50% y a los pacientes asintomáticos con estenosis > 70%, a los que también se revirará a revascularización transcarotídea9.

Está ampliamente demostrado que los pacientes con diabetes tipo 2 tienen tres veces más riesgo cardiovascular que las personas sin esta enfermedad. Existe una clara relación de la diabetes tipo 2 con la hipercolesterolemia y los marcadores inflamatorios. Se reporta progresión de la enfermedad carotídea hasta del 20% al año, siendo los factores de riesgo más importantes la edad, el sexo masculino, el índice de masa corporal elevado y el tabaquismo. Una opción muy segura y efectiva de tratamiento es la colocación de un stent en la arteria carótida10. Comparando nuestro caso clínico con lo reportado en la literatura se encuentran resultados similares, lo cual nos alienta y satisface enormemente. No podemos comparar nuestro caso con casuística mexicana, ya que el grueso de la población de nuestro país no tiene el recurso económico para solventar un gasto económico de esta magnitud a través de la medicina privada, y la mayoría de los hospitales públicos generalmente carecen de departamentos de hemodinámica, dispositivos automatizados y personal médico calificado en intervencionismo. Finalmente, fuimos cuidadosos de suministrar la menor cantidad de medio de contraste, utilizar tipo no iónico y reducir el tiempo de exposición, con lo cual no pudimos observar deterioro de la función renal de forma aguda ni crónica.

Conclusión

Consideramos muy importante tener la perspicacia clínica de interpretar correctamente con premura y certeza las manifestaciones clínicas y atípicas que una enfermedad puede presentar. Es determinante el seguimiento estrecho al paciente e involucrar a la familia con su apoyo en todo sentido.

Financiamiento

Los autores declaran que este trabajo se realizó con recursos propios.

Conflicto de intereses

Los autores declaran no tener conflicto de intereses.

Consideraciones éticas

Protección de personas y animales. Los autores declaran que para esta investigación no se han realizado experimentos en seres humanos ni en animales.

Confidencialidad, consentimiento informado y aprobación ética. Los autores han seguido los protocolos de confidencialidad de su institución, han obtenido el consentimiento informado de los pacientes, y cuentan con la aprobación del Comité de Ética. Se han seguido las recomendaciones de las guías SAGER, según la naturaleza del estudio.

Declaración sobre el uso de inteligencia artificial. Los autores declaran que no utilizaron ningún tipo de inteligencia artificial generativa para la redacción de este manuscrito.

Bibliografía

1. International Diabetes Federation. IDF Diabetes Atlas. 11th ed. IDF;2025. Disponible en:https://diabetesatlas.org/.

2. de Boer IH, Khunti K, Sadusky T, Tuttle KR, Neumiller JJ, Rhee CM, et al. Diabetes management in chronic kidney disease:a consensus report by the American Diabetes Association (ADA) and Kidney Disease:Improving Global Outcomes (KDIGO). Diabetes Care. 2022;45:3075-90.

3. Méndez DA, Ruíz MR. Perspectiva epidemiológica de la insuficiencia renal crónica en el Instituto Mexicano del Seguro Social. Rev Nefrol Mex. 2024;45:51-7.

4. Instituto Nacional de Salud Pública (INSP). La enfermedad renal crónica en México (12 marzo 2020). Disponible en:www.insp.mx/avisos/5296-enfermedad-renal-cronica-méxico.html.

5. Arasu R, Arasu A, Muller J. Carotid artery stenosis:an approach to its diagnosis and management. Aust J Gen Pract. 2021;50:821-5.

6. Thomas GB, Gary SR, Wesley SM, James FM. Carotid artery disease:then and now. Stroke:Vascular and Interventional Neurology. 2024;4(2).

7. Turan TN, Voeks JH, Chimowitz MI, Roldan A, LeMatty T, Haley W, et al. Rationale, design, and implementation of intensive risk factor treatment in the CREST2 trial. Stroke. 2020;51:2960-71.

8. White CJ, Brott TG, Gray WA, Heck D, Jovin T, Lyden SP, et al. Carotid artery stenting:JACC state-of-the-art review. J Am Coll Cardiol. 2022;80:155-70.

9. Lanzino G, Mericle RA, Lopes DK, Wakhloo AK, Guterman LR, Hopkins LN. Percutaneous transluminal angioplasty and stent placement for recurrent carotid artery stenosis. J Neurosurg. 1999;90(4):688–94.

10. Brott TG, Hobson RW 2nd, Howard G, Roubin GS, Clark WM, Brooks W, et al.;CREST Investigators. Stenting versus endarterectomy for treatment of carotid-artery stenosis. N Engl J Med. 2010;363:11-23.