Introducción
La nefritis tubulointersticial aguda (NTIA) es una causa inflamatoria de lesión renal aguda caracterizada por un deterioro súbito y significativo de la función renal, con afectación predominante del compartimento tubulointersticial y preservación relativa del glomérulo y de la microvasculatura. Esta región integrada por los túbulos renales y el tejido conectivo del parénquima participa en el equilibrio ácido-base, la excreción de fármacos y diversas funciones endocrinas del riñón. La inflamación persistente en este compartimento induce alteraciones metabólicas y estructurales que, si no se resuelven, pueden progresar a fibrosis intersticial y pérdida irreversible de la función renal1. Los datos epidemiológicos provienen en su mayoría de series de casos y hallazgos incidentales en biopsias, dado que la biopsia renal no suele realizarse como estudio sistemático y se reserva para cuadros rápidamente progresivos o de mayor gravedad. Las formas leves o subclínicas suelen pasar inadvertidas, lo que sugiere que la frecuencia real de la NTIA podría estar subestimada. En cohortes seleccionadas, la NTIA representa aproximadamente el 1-3% de todas las biopsias renales y hasta el 15-27% de los casos de lesión renal aguda, cifras que subrayan la necesidad de estrategias diagnósticas más tempranas, sensibles y accesibles2. En cuanto a su etiología, la NTIA puede deberse a causas farmacológicas, infecciosas, autoinmunitarias o neoplásicas, además de haber formas idiopáticas y relacionadas con el trasplante renal. Entre ellas, la etiología farmacológica es la más frecuente y se han identificado como agentes comunes los antibióticos, los inhibidores de la bomba de protones y los antiinflamatorios no esteroideos3,4. La estructura renal y las características particulares de su circulación predisponen al riñón a desarrollar reacciones de hipersensibilidad frente a diversos antígenos o fármacos. Su alta perfusión sanguínea, la amplia superficie de contacto tubular y la capacidad de concentración de solutos favorecen la exposición directa del túbulo-intersticio a sustancias potencialmente inmunógenas o tóxicas. Diversos estímulos antigénicos pueden alcanzar esta región y activar directamente las células inmunitarias locales o inducir una respuesta mediada por células presentadoras de antígenos, desencadenando la inflamación característica. El concepto de interacción farmacológica con receptores inmunitarios (p-i concept) explica cómo ciertos fármacos pueden activar de forma directa a los linfocitos T mediante una unión reversible a los receptores de células T o a las moléculas del antígeno leucocitario humano, sin requerir una presentación antigénica previa, contribuyendo así al daño tubulointersticial característico de la NTIA4,5. El estudio histopatológico refleja esta complejidad fisiopatológica: se observa un infiltrado inflamatorio mononuclear con predominio de linfocitos T, acompañado de edema intersticial, daño tubular, tubulitis y presencia de eosinófilos, mastocitos y macrófagos. Esta diversidad celular evidencia la existencia de múltiples mecanismos inmunitarios subyacentes, que explican la variabilidad clínica y morfológica observada en la NTIA6.
En el presente trabajo se describe un nuevo caso de NTIA inducida por azitromicina confirmada por biopsia renal en un paciente joven previamente sano, y se realiza un análisis comparativo con cinco reportes de casos publicados, en los cuales se contrastan la presentación clínica, la evolución, los hallazgos histopatológicos, el tratamiento y el desenlace. Este reporte contribuye a reforzar la evidencia existente y subraya la importancia del reconocimiento temprano y del manejo oportuno de esta infrecuente afección.
Caso clínico
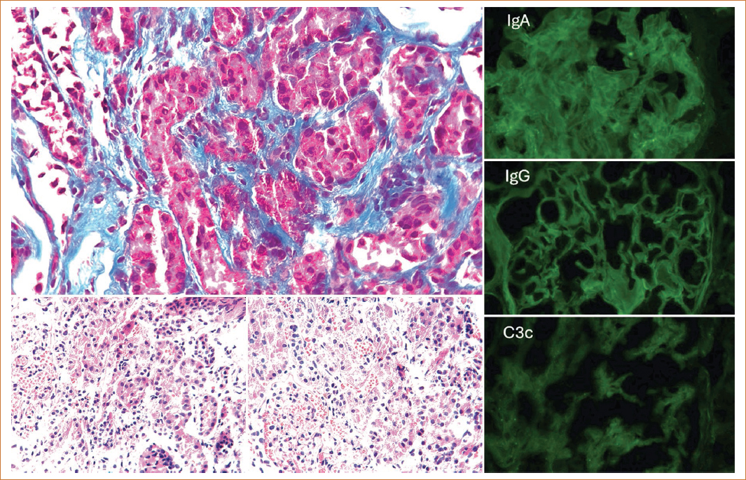
Varón de 19 años, previamente sano, sin antecedentes personales de enfermedad renal ni exposición conocida a nefrotóxicos. Quince días antes de acudir a urgencias presentó un cuadro de infección de vías respiratorias altas que fue tratado con azitromicina, 500 mg diarios durante 5 días, sin uso concomitante de otros fármacos con potencial nefrotóxico. A los 10 días de completar el tratamiento inició un cuadro de dolor abdominal, náusea, vómito y deterioro súbito de la función renal, motivo por el cual fue referido a urgencias. Los estudios iniciales mostraron creatinina 3.66 mg/dl, urea 65 mg/dl, bicarbonato 20.4 mEq/l y anión gap normal. Se documentó leucocitosis de 14.3 × 103/μl, sin eosinofilia. En las primeras 24 horas, la creatinina aumentó progresivamente hasta 5.2 mg/dl, sin alteraciones electrolíticas ni oliguria. El examen general de orina reveló proteinuria 75 mg/dl, detectada mediante tira reactiva; el análisis microscópico de sedimento urinario reveló 15 leucocitos por campo y 3 eritrocitos por campo, sin presencia de cilindros ni eritrocitos dismórficos. No se observaron eosinófilos. La recolección posterior de orina de 24 horas confirmó la presencia de proteinuria en rango no nefrótico, con una excreción total de proteínas de 322 mg en 24 horas. El cociente urea/creatinina fue < 40, compatible con lesión renal intrínseca y excluyente de etiología prerrenal. El perfil inmunológico (anticuerpos antinucleares, anticitoplasma de neutrófilos y antimembrana basal glomerular) fue negativo, con niveles normales de C3 y C4. El urocultivo y las serologías para virus de la inmunodeficiencia humana, sífilis y virus del grupo TORCH resultaron negativos. La tomografía computarizada simple de abdomen y el ultrasonido renal mostraron riñones de tamaño y morfología normales, con adecuada diferenciación corticomedular, sin litiasis ni signos de cronicidad. Se observó borramiento de la grasa perirrenal e incremento difuso de la densidad cortical, hallazgos interpretados como inflamación renal difusa. El estudio Doppler evidenció índices de resistencia intrarrenal elevados (0.79 en el riñón izquierdo y 0.74 en el derecho). Dado el incremento persistente de la creatinina y los hallazgos radiológicos sugestivos de inflamación intersticial, se realizó una biopsia renal que incluyó seis glomérulos valorables, los cuales mostraron morfología normal, daño tubular focal con pérdida del borde en cepillo, edema e infiltrado intersticial linfocitario leve, sin evidencia de fibrosis ni granulomas. La inmunofluorescencia fue negativa para IgG, IgA, IgM, C1q, C3c, fibrinógeno, albúmina, kappa y lambda, sin depósitos lineales ni granulares, ni alteraciones en los diferentes compartimentos. La relación causal entre la administración de azitromicina y la lesión renal aguda se evaluó mediante el algoritmo de Naranjo (8 puntos) y la escala ADRs-AKI (> 9 puntos), ambas clasificando el vínculo como probable. La correlación temporal con la exposición al fármaco, la reversibilidad del daño renal tras su suspensión, la exclusión de causas alternativas y los hallazgos histopatológicos sustentaron el diagnóstico de nefritis intersticial aguda inducida por azitromicina (Fig. 1).
Figura 1. Biopsia renal con tinciones de hematoxilina y eosina, ácido peryódico de Schiff y tricrómico de Masson. Se observa un infiltrado intersticial linfocitario difuso con edema leve y daño tubular focal, caracterizado por pérdida del borde en cepillo y degeneración epitelial. Los glomérulos y los vasos se encuentran estructuralmente preservados, sin evidencia de proliferación ni de depósitos. En la inmunofluorescencia directa, las tinciones para IgG, IgA y C3c fueron negativas, lo que descartó una lesión mediada por inmunocomplejos.
Durante la hospitalización, el paciente recibió metilprednisolona intravenosa a dosis de 500 mg/día durante 3 días, observándose mejoría clínica y bioquímica progresiva (Fig. 2). Posteriormente, continuó con prednisona oral en esquema descendente de forma ambulatoria, alcanzando creatinina de 0.79 mg/dl al día 20 de tratamiento.
Figura 2. Evolución diaria de la urea y de la creatinina sérica (CrS) entre los días 1 y 20. La urea muestra un ascenso hasta un pico en los días 4-5, con posterior descenso. La CrS desciende de forma progresiva hasta valores casi normales en el día 20.
Discusión
La revisión de la literatura revela que la NTIA inducida por azitromicina constituye una afección excepcional, con solo unos pocos casos confirmados por biopsia. Mansoor et al.7 reportaron el primer caso de NTIA asociada a azitromicina en un hombre de 43 años, con deterioro renal progresivo que no mejoró con corticosteroides y culminó en necesidad de hemodiálisis. La biopsia evidenció infiltrado intersticial mixto sin depósitos inmunitarios, compatible con hipersensibilidad de tipo IV, y fibrosis temprana, indicador de daño estructural y escasa recuperación pese al tratamiento. Soni et al.8 describen una recurrencia de NTIA en una adolescente tras la reexposición al mismo antibiótico: el primer episodio remitió con corticosteroides, pero el segundo fue más grave, con infiltrado más extenso, fibrosis intersticial y daño tubular irreversible. El caso enfatiza la biopsia renal para confirmar la etiología farmacológica y muestra la evolución histológica desde inflamación aguda a fibrosis ante exposiciones repetidas. Persico et al.9 reportaron, en una adolescente de 16 años, NTIA inducida por azitromicina con lesión renal aguda, proteinuria, leucocitosis y eosinofiluria. La biopsia mostró infiltrado intersticial de linfocitos, células plasmáticas, eosinófilos y neutrófilos, así como edema y daño tubular, con inmunofluorescencia negativa y glomérulos normales, concordante con una reacción inmunoalérgica y sin datos de otras etiologías. El tratamiento esteroideo precoz logró la recuperación renal completa, en contraste con casos tardíos asociados a fibrosis y evolución a enfermedad renal crónica. Woodruff et al.10 describen una NTIA grave por azitromicina en un varón de 59 años con diabetes tipo 1, hipertensión arterial y nefropatía diabética, quien desarrolló proteinuria, hematuria, leucocituria e incremento rápidamente progresivo de la creatinina 2 semanas después de la exposición, que requirió hemodiálisis de forma transitoria. La biopsia mostró inflamación intersticial difusa y grave con cúmulos de eosinófilos y necrosis tubular aguda, sin depósitos inmunitarios. El tratamiento consistió en la suspensión inmediata del antibiótico y la administración de prednisona a dosis bajas (0.3 mg/kg al día) con descenso gradual, logrando una recuperación parcial. En este caso, la baja reserva funcional renal se asoció a mayor gravedad y a la necesidad de terapia de reemplazo renal, subrayando que dicha reserva es un determinante pronóstico de la evolución clínica y de la necesidad de terapia de reemplazo renal. Finalmente, Hasan y Ahmad11 describen un caso atípico de lesión renal tras la administración de azitromicina intravenosa en dosis única como procinético en un varón de 76 años, que presentó un incremento agudo de la creatinina y oliguria, las cuales revirtieron rápidamente tras suspender el fármaco, sin esteroides ni terapia de reemplazo renal. Al no realizar biopsia, el mecanismo preciso es incierto, pero la resolución completa y breve sugiere un daño funcional no inflamatorio, ampliando el espectro de nefrotoxicidad de la azitromicina más allá de la NTIA inmunoalérgica clásica.
En comparación con los casos previamente descritos, nuestro reporte es de una presentación intermedia dentro del espectro de la NTIA inducida por azitromicina, con criterios diagnósticos bien delimitados, evolución favorable y confirmación histopatológica del daño. A diferencia del caso de Mansoor et al.7, cuyo diagnóstico tardío y la fibrosis incipiente condicionaron una evolución irreversible hacia enfermedad renal crónica pese a la inmunosupresión, nuestro paciente fue evaluado en fase temprana, sin fibrosis, lo que favoreció la recuperación completa. En el caso de Soni et al.8 no hubo reexposición al fármaco ni evidencia de sensibilización inmunitaria, hallazgo compatible con un evento idiosincrásico más que con una respuesta inmunoalérgica secundaria y que evita el patrón exacerbado y fibrótico observado tras el segundo contacto. Asimismo, frente al de Persico et al.9, nuestro paciente cursó sin eosinófilos en sangre y orina, lo que sugiere menor intensidad inflamatoria. La comparación con el caso descrito por Woodruff et al.10 subraya el papel de la reserva funcional renal, pues en su paciente la coexistencia de diabetes, hipertensión y nefropatía diabética se asoció a NTIA difusa y grave con requerimiento de terapia de reemplazo renal, mientras que en el nuestro la reserva preservada actuó como amortiguador fisiológico, traduciéndose en menor gravedad y recuperación integral. Por último, el caso de Hasan y Ahmad11 amplía el espectro fisiopatológico al describir una disfunción renal transitoria, sin confirmación histológica y de rápida reversión tras suspender el fármaco, más afín a un mecanismo funcional no inflamatorio que a una NTIA franca. En este continuo, nuestro caso se sitúa en un punto intermedio y favorable, con confirmación histopatológica de inflamación intersticial aguda, ausencia de sensibilización, reserva renal preservada y tratamiento oportuno.
Conclusión
La NTIA inducida por azitromicina puede manifestarse en un amplio espectro, que va desde formas funcionales y reversibles hasta cuadros inflamatorios crónicos con fibrosis irreversible. Nuestro caso reafirma que la identificación temprana, la exclusión de causas alternativas y la intervención oportuna con esteroides son determinantes para prevenir la progresión hacia daño renal permanente.
Financiamiento
Los autores declaran que este trabajo se realizó con recursos propios.
Conflicto de intereses
Los autores declaran no tener conflicto de intereses.
Consideraciones éticas
Protección de personas y animales. Los autores declaran que los procedimientos seguidos se conformaron a las normas éticas del comité de experimentación humana responsable y de acuerdo con la Asociación Médica Mundial y la Declaración de Helsinki. Los procedimientos fueron autorizados por el Comité de Ética de la institución.
Confidencialidad, consentimiento informado y aprobación ética. Los autores han seguido los protocolos de confidencialidad de su institución, han obtenido el consentimiento informado del paciente, y cuentan con la aprobación del Comité de Ética. Se han seguido las recomendaciones de las guías SAGER, según la naturaleza del estudio.
Declaración sobre el uso de inteligencia artificial (IA). Los autores declaran que no se utilizó ningún tipo de inteligencia artificial generativa para la redacción ni la creación de contenido de este manuscrito.
